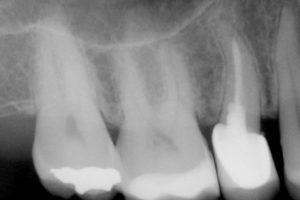
La parodontologia è una branca dell’odontoiatria che studia le problematiche che interessano i tessuti di sostegno del dente. Si occupa di diagnosticare il tipo di patologia paradontale (piorrea) e di pianificare il corretto trattamento.
Le malattie trattate nel nostro Studio sono la gengivite e la parodontite.
La gengivite è un processo infiammatorio che interessa le gengive e in molti casi sintomo di un inizio di malattia paradontale.
La parodontite è una patologia piuttosto subdola ad eziologia batterica e a patogenesi infiammatoria, conosciuta come piorrea, che – se non curata – porta alla distruzione dei tessuti che assicurano sostegno e stabilità ai denti.
Il nostro studio considera da sempre la salute parodontale come il passo prioritario e fondamentale per la cura della salute della bocca dei pazienti. In assenza di un buon controllo della placca batterica e dell’infiammazione gengivale, le terapie odontoiatriche sono inevitabilmente destinate all’insuccesso. Se non curata correttamente e con le idonee terapie, la parodontite è da considerarsi in tutto e per tutto una malattia degenerativa che porta alla caduta dei denti.
Fattori causali della paradentite
La paradentite ha eziologia batterica con vari ceppi più o meno aggressivi
Quali le cause che favoriscono questa patologia?
Sintomi
Igiene orale
L’igiene orale professionale eseguita dall’igienista dentale è una terapia non invasiva da eseguire una volta ogni 6-8 mesi
Possibili cure
Il paradontologo dopo una necessaria corretta diagnosi accerterà per ogni singolo caso il piano di terapia più idoneo.
Dove possibile modificherà eventuali abitudini sbagliate con lo scopo di rallentare il progredire di questa grave e spesso sottovalutata malattia degenerativa.

Tale terapia, eseguita dall’igienista dentale, prevede l’eliminazione dei fattori causali della malattia parodontale quali sono i batteri sopra e sottogengivali contenuti nella placca batterica e nel tartaro.Si esegue con strumenti manuali e sonici coadiuvati dall’utilizzo di prodotti capaci di agire in profondità all’interno dello spazio compreso tra gengiva e radice.
Questa procedura consente, dopo aver inciso la gengiva intorno al dente e scollato i tessuti molli, di accedere direttamente alla superficie radicolare eliminando i batteri presenti nelle zone più profonde e nascoste.
Verranno poi definite le eventuali terapie chirurgiche:
Una volta curata la parodontite, è necessario effettuare delle visite periodiche di controllo, ogni 2-6 mesi secondo indicazione.
Il controllo è fondamentale per:
Questo sito o gli strumenti di terzi utilizzati al suo interno si avvalgono di cookie (tecnici e di profilazione) per il corretto funzionamento del sito, generare delle statistiche di navigazione e mostrarti pubblicità in modo non invasivo. Proseguendo la navigazione su questo sito acconsenti all’uso dei cookie. Cookie policy